Scoliosis and Spinal Deformity

 

A deformity. Scoliosis. Spinal curvature. A misshapen spine. Kyphoscoliosis. Although some of the terminology may be foreign, most people understand the concept of a spine curving. Maybe a child in their family had to wear a brace. Or they remember screening for scoliosis back in school. Whatever the initial understanding of scoliosis, it takes on a new meaning when it affects your body, your spine. Dr. Hatef treats scoliosis and other spinal deformities ranging from thoracic scoliosis in a teenager to lumbosacral deformities in our eldest population. We invite you to read on and learn more about the different varieties of spinal deformity.


X-ray of 15 year old patient showing severe curvature

Adolescent scoliosis. This individual underwent spinal fusion with excellent results.

Scoliosis in Adolescents

Scoliosis is a common condition in growing teenagers and is far more common in young girls. The medical term for the condition is adolescent idiopathic scoliosis - AIS. The term idiopathic means a condition of unknown cause, and while we may not know exactly why some individuals get scoliosis, in recent decades we have become very adept at treating it.

The first step, and one of the most import parts of any scoliosis evaluation, is the thorough history and neurologic examination. Dr. Hatef will check strength, sensation, and reflexes to ensure there are no subtle abnormalities that may be coming from a neurologic condition, which could require a very different treatment than “typical” AIS. Usually scoliosis in children is not painful, although very large curves can cause back, rib, or pelvic pain.

After Dr. Hatef has ruled out a more dangerous cause for scoliosis, he will help determine the best treatment. Treatment generally consists of bracing, or surgery. The main goals of treatment is to prevent progressive spinal curvature into young adulthood.

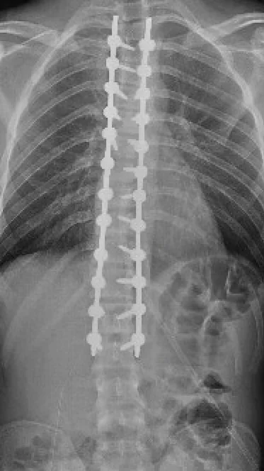
Postop X-ray corrected scoliosis

A patient after spinal fusion with near complete reduction of curvature.

Patients who still have immature skeletons are the best candidates for bracing. By wearing the brace, the spine is eased into a more natural position. In patients with a significant amount of growth left, the spine will “grow” to become more straight. By keeping the curve from getting worse, we can hopefully prevent the need for surgery.

If the curve is large enough and the child’s skeleton is reaching the end of growth, it is not likely that anything will naturally correct the scoliosis. These are the patients for whom we recommend surgery. Dr. Hatef has extensive training in pediatric orthopedic spinal deformity surgery. By performing a spinal fusion surgery, we are able to correct the curvature and prevent it from curving again.


Scoliosis in adults

Unlike children, scoliosis in adults is often a significant cause of back and leg pain. Curvature in the spine leads to increased rates of spinal arthritis, and patients often having pain earlier than we typically see in uncurved spines. There are two major causes of scoliosis in adults: untreated pediatric scoliosis that has progressed, and degenerative scoliosis due to spinal arthritis. Both conditions have very similar treatment protocols.

Dr. Hatef’s initial evaluation will focus identifying that largest causes of pain, as well as ruling out any more urgent conditions such as compression of the spinal cord. For an adult, the decision to have surgery is less about how severe the X-rays look and more about how severe the symptoms are. We often try to use nonoperative measures such as anti-inflammatory medications, spinal injections, and physical therapy. However, despite these attempts many patients do go on to have intractable pain that requires surgery.

Surgery for scoliosis in adults is very similar to operations in children - we use spinal fusion surgeries to place the bones back in the correct position and prevent future curvature. Surgery also allows for decompression: we can remove bits of arthritis that are compressing the nerves helping relieve pain. Dr. Hatef will talk about the risks, benefits, and alternatives of scoliosis surgery and help you make the most informed decision.


Other spinal deformities

Kyphosis, or kyphotic deformity, occurs when the spine bends forward abnormally. As this prevents upright walking, it is a very debilitating condition. It can occur after infections or trauma, or simply as a result of degeneration and arthritis. When kyphosis is diagnosed, spinal osteotomy surgery is required to correct the abnormal bend in the spine.

 
Severe kyphotic deformity

A very severe kyphotic deformity after spinal infection. There is a very sharp angulation in the spinal column.

Postop image showing corrected kyphotic curvature

After removing the diseased vertebrae, a more normal curvature was restored to the spine.

 

Scheuermann's kyphosis is a specific condition occurring in teenagers and young adults, results in exaggerated forward curvature of the spine. It often responds to bracing, and many patients become asymptomatic after growing. For those with severe back pain, spinal osteotomy can help correct the curvature and set the spine back into the correct position.

Many deformities in adults are due to prior spinal surgeries. Revision spine surgery poses additional considerations to safely correct the abnormal curvature and decompress the nerves. Dr. Hatef has experience in revision spine surgery and is happy to provide consultation with any patient considering revision surgery.

Cervical deformities are abnormal curvatures of the neck. They are much less common than deformities of the lower back, although they are especially disabling as they prevent normal head movement, gaze, and even swallowing. Correcting these deformities can sometimes require a multi-staged approach to remove the arthritis, relieve nerve compression, and bring the head and neck back into a comfortable position. Dr. Hatef has extensive experience with spinal deformities in both residency and additional training during his enfolded fellowships.